872782a9257798b176f4585dd0ab046761a1e779 (2)

Fused forearm Bones (Synostosis)

Fused forearm bones, medically known as radioulnar synostosis, is a rare congenital or acquired condition characterized by the abnormal fusion of the two long bones in the forearm: the radius and the ulna. This fusion restricts the normal rotational movement of the forearm, leading to functional limitations and sometimes cosmetic concerns. Understanding the causes, symptoms, diagnosis, and treatment options for fused forearm bones is essential for patients, caregivers, and healthcare professionals.

Anatomy of the Forearm

The forearm consists of two parallel bones: the radius and the ulna. These bones work together to allow a wide range of movements, including:

  • Pronation: Rotating the forearm so the palm faces downward.
  • Supination: Rotating the forearm so the palm faces upward.

The radius and ulna are connected by a fibrous sheet called the interosseous membrane and articulate at both the elbow and wrist joints. This unique structure enables the forearm to rotate smoothly, which is crucial for many daily activities such as turning a doorknob, using utensils, or typing.

What is Fused Forearm Bones (Synostosis)?

Synostosis refers to the abnormal fusion of two bones that are normally separate. In the case of the forearm, radioulnar synostosis occurs when the radius and ulna are joined by bone tissue, either partially or completely, along some portion of their length. This fusion prevents the bones from moving independently, severely limiting the rotational movement of the forearm.

Types of Radioulnar Synostosis

  1. Congenital Synostosis: Present at birth, caused by developmental anomalies during fetal growth.
  2. Acquired Synostosis: Develops after birth due to trauma, infection, surgery, or other pathological processes.

Causes of Fused Forearm Bones

Congenital Causes

Congenital radioulnar synostosis is a rare birth defect resulting from the failure of segmentation between the radius and ulna during embryonic development. Normally, the two bones develop separately from a common cartilaginous precursor. If this separation does not occur properly, the bones remain fused.

This condition may occur sporadically or be associated with genetic syndromes such as:

Acquired Causes

Acquired synostosis can result from:

  • Fractures: Improper healing of forearm fractures can lead to bone bridging.
  • Surgical procedures: Postoperative complications may cause bone fusion.
  • Infections: Osteomyelitis or other infections can promote abnormal bone growth.
  • Radiation therapy: Can induce bone changes leading to synostosis.

Symptoms and Clinical Presentation

The primary symptom of fused forearm bones is the loss of forearm rotation. Patients typically present with:

  • Limited or absent pronation and supination: The forearm may be fixed in a certain position, often in slight pronation.
  • Functional impairment: Difficulty performing tasks that require forearm rotation, such as turning a key or using utensils.
  • Cosmetic concerns: The forearm may appear abnormal or asymmetrical.
  • Pain: Usually absent unless associated with trauma or other complications.

In congenital cases, the condition is often noticed in early childhood when the child fails to develop normal forearm movements.

Diagnosis

Clinical Examination

A thorough physical examination is essential. The doctor will assess:

Imaging Studies

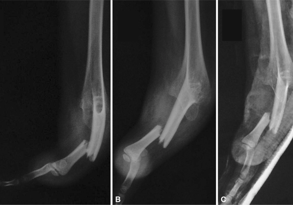
  • X-rays: The primary diagnostic tool, showing the extent and location of the bony fusion.
  • CT scans: Provide detailed images of the bone structure and help in surgical planning.
  • MRI: Useful to evaluate soft tissue involvement and rule out other pathologies.

Impact on Daily Life

The inability to rotate the forearm can significantly affect daily activities, including:

Children with congenital synostosis may face challenges in school and social interactions due to functional limitations.

Treatment Options

Treatment depends on the severity of the condition, the degree of functional impairment, and patient age.

Non-Surgical Management

  • Observation: Mild cases with minimal functional limitation may only require monitoring.
  • Physical therapy: Focuses on maximizing the use of available motion and strengthening surrounding muscles.
  • Adaptive devices: Tools and modifications to assist with daily activities.

Surgical Treatment

Surgery is considered when the fusion causes significant disability or pain. Surgical options include:

  1. Resection of the Synostosis: Removing the bony bridge to restore movement. This is more successful in acquired cases than congenital ones.
  2. Interposition Arthroplasty: After resection, placing a soft tissue or synthetic spacer between the bones to prevent refusion.
  3. Osteotomy: Cutting and repositioning the bones to place the forearm in a more functional fixed position, especially when motion cannot be restored.
  4. Joint Reconstruction: In complex cases, reconstructive procedures may be necessary.

Challenges in Surgery

Prognosis

The prognosis varies:

  • Congenital synostosis: Generally, the fusion is permanent, and treatment focuses on functional adaptation.
  • Acquired synostosis: Surgical intervention may restore some degree of motion, but outcomes depend on the extent of fusion and timing of treatment.

Early diagnosis and intervention improve functional outcomes and quality of life.

Living with Fused Forearm Bones

Clinical Examination

Patients and families can take several steps to manage the condition effectively:

Conclusion

Fused forearm bones or radioulnar synostosis is a challenging condition that affects forearm rotation and function. While congenital cases are often permanent, acquired synostosis may be amenable to surgical correction. Early diagnosis, appropriate management, and rehabilitation are key to optimizing outcomes. If you or a loved one is affected by this condition, consulting with an orthopedic specialist experienced in upper limb disorders is essential for personalized care.

Get Free Medical Consultation, Call 234-567890